在公布蛋包性別之前讓我們先回味這張換臉照片
當初玩完這個app就發現:萬一女兒長得跟爸爸一樣應該會從幼稚園被霸凌到大學
朋友們也幸災樂禍的說:
要存錢讓女兒整形了
要準備很多嫁粧喔
嫁妝不夠可能要捐救護車或蓋間廟喔
我不怪他們,因為客家人男扮女裝的臉真的太欠揍啊XDDD
於是日子默默來到了16周產檢
醫生突然說:可以看到性別囉

登愣!!!蛋包是個女生啊
走出診間太興奮想要通報客家人,結果立馬出包XD
客家人不是第一個知道我懷孕的人,也不是第一個知道女兒性別的人
反正我是你第一個搞大肚子的人這樣應該就夠了吧(喂)
自從知道蛋包是女孩以後我這個懶惰媽媽開始吃起魚油
心想:如果長得不漂亮至少要聰明,因為她的人生只能靠自己(有夠偏差)
在這裡要再度讚嘆莫非定律的奧妙
和客家人交往以前,我信誓旦旦的說不想談姊弟戀
結果不止談了姊弟戀還踏入愛情的墳墓
幻想小孩星座的時候又說:如果可以的話希望不要是牡羊或雙魚
因為對於火爆和玻璃心星座似乎不太熟稔怕被小孩踩在腳底下
蛋包預產期3/29,不管怎樣她都只有這兩個星座可以選
於是我想到之前說過:希望女兒不要長得像爸爸
事已至此,我已經可以坦然接受生出一個激似客家人的女兒了(含淚微笑)
接下來的日子就在吃魚油和體重失控中度過
終於來到21W的高層次超音波,這是檢查胎兒器官發育的重要檢查
禾馨的收費是4000塊,相較於新光醫院收費3300好像貴一點
但是禾馨是由超音波技術師檢驗一次,再由醫生double check
再加上她舒適的環境讓人心甘情願多付這700元的價差
檢查前一晚蛋包很是亢奮,不停地在肚子翻滾
連客家人來摸肚子都踢了他爸一腳
幸好滾了一晚的她都早上檢查的時候終於恢復冷靜
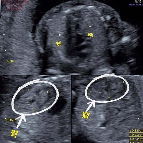
而且姿勢很配合,順利地從頭、眼、鼻、唇、四肢、手指腳趾、心肝脾肺腎胃膽都看得一清二楚
判別超音波真的好難啊,我們外行人怎麼看都是黑白雜訊
技術師和醫生竟然可以從這小黑洞看出是肺還是腎臟實在是太厲害了
高層次超音波對於新生兒缺損只有80%的檢出率
實際檢查過就知道這已經是難能可貴的數字,醫療人員不知道要累積多久的經驗才能正確判讀
這張有蛋包的眼睛,雖然我是她媽還是要說:你不要這樣看我我好害怕XDDD
腿一直在踢我的肚子!一直踢!!!
醫生也會趁胎兒臉比較清楚的時候拍幾張3D超音波讓爸媽過過乾癮
她一離開診間我就跟客家人說:怎麼辦!鼻子跟你好像
客家人:對啊怎麼會這樣(憂心),沒關係我相信女兒一定會像你(阿Q)
不然從兩歲就訓練她雙語還有成績要很好(顯示爸爸也很偏差)
希望蛋包知道這些都是玩笑話
不管怎樣健康就好,頂多我們搬到東部鄉下或是高中暑假就送你去韓國嘛(喂)
禾馨的高層次超音波除了app上可以拿到照片電子檔
也會拿到紙本的檢驗報告和相片
下一次產檢就是糖水大魔王啦!!!祝我能順利過關啊!

